Адрес клиники: г. Ижевск,
ул. Михаила Петрова, 43, корп. 2
ул. Михаила Петрова, 43, корп. 2
Ежедневно с 09.00 до 21.00
*Рассрочка на 12/24/36 месяцев и льготы пенсионерам
Полная имплантация/протезирование зубов в нашей клинике доступны всем!
Анатомически точный протез
— выглядит и ощущается как собственные зубы
— выглядит и ощущается как собственные зубы
ориентируясь на индивидуальные особенности вашего случая
особые, бережные условия!
Для пациентов пенсионного возраста
Подготовим полный расчёт стоимости и зафиксируем цену
от 5 700 рублей/месяц*
Все зубы
сразу за 72 часа
сразу за 72 часа
на протезы любой сложности
Акция до загрузка...
Акция ограничена по количеству мест:
осталось 4 места
осталось 4 места
По персональному номеру участника акции
Высокая биосовместимость материалов
Уже в первый день после установки протеза
+ КТ-снимок и полная 3D-диагностика
Бесплатная консультация ведущего врача
Без риска аллергии
Не смещаются, не натирают и не вызывают дискомфорта
При необходимости делаем наращивание
Сможете есть любую еду
Надёжная фиксация и комфорт
Протезы подходят идеально с первой примерки
костной ткани и синус-лифтинг
Без долгих подгонок и повторных визитов
Живите без ограничений!
Улыбайтесь без стеснения, ешьте без страха
Работаем с сертификатом от Правительства Ижевской обл. на изготовление протезов
Скидка при полной оплате
плана лечения
плана лечения
Возврат НДФЛ 13%
от стоимости лечения
от стоимости лечения
Новое поколение зубных протезов
на имплантах
с супер-фиксацией
Полное восстановление жевательной функции. Естественная речь и внешний вид зубов. Комфортное ношение благодаря надёжной фиксации.
Современная цифровая лаборатория – ключевое отличие от многих клиник
Анатомическая точность
Используются цифровые технологии для идеального прилегания протеза с 1 раза без натирания
Используются цифровые технологии для идеального прилегания протеза с 1 раза без натирания
Скорость
Вы получите протез в кратчайший срок
Вы получите протез в кратчайший срок
Экономия
Не переплачиваете сторонним зуботехническим лабораториям за изготовление протезов
Не переплачиваете сторонним зуботехническим лабораториям за изготовление протезов
Вы получаете протез, который не выпадает, не натирает и не мешает дикции.
На вид не отличить от родных зубов
На вид не отличить от родных зубов
* каждый план лечения разрабатывается индивидуально и зависит
от множества
факторов в
конкретном
случае
от множества
факторов в
конкретном
случае
* каждый план лечения разрабатывается индивидуально и зависит от множества факторов в конкретном случае
Возврат НДФЛ 13% от стоимости лечения
Профосмотры каждые пол года — 0 ₽
3D-диагностика интраоральной камерой — 0 ₽
КТ-снимок с расшифровкой — 0 ₽
Консультация ведущего врача и план лечения — 0 ₽
Ответьте на 4 вопроса, чтобы получить в подарок:
Рассчитайте стоимость
и закрепите цену
с максимальной выгодой
Присоединяйтесь к числу довольных пациентов нашей клиники и забудьте о проблемах с зубами!
Высокоточная навигационная хирургия
Применяем инновационный плазмолифтинг доя ускоренного заживления
3D-цифровое моделирование улыбки с точностью до 0,01мм
Современная зуботехническая CAD/CAM лаборатория
Передовые методы диагностики всей полости рта
Возвращаем улыбку пациентам с сахарным диабетом, атрофией костной ткани и пародонтозом
Мы найдём решение даже для случаев, когда другие клиники отказываются
пациент клиники «Профклиник»
* подробности БЕСПРОЦЕНТНОЙ РАССРОЧКИ БЕЗ ПЕРЕПЛАТ уточняйте у администратора
Протезирование зубов в РАССРОЧКУ без переплат!
НОВЫЕ ЗУБЫ СЕЙЧАС -
ОПЛАТА ПОТОМ
Сразу можно есть любую еду
Подходят с первого раза без переделок
Новые зубы не выпадают, не натирают
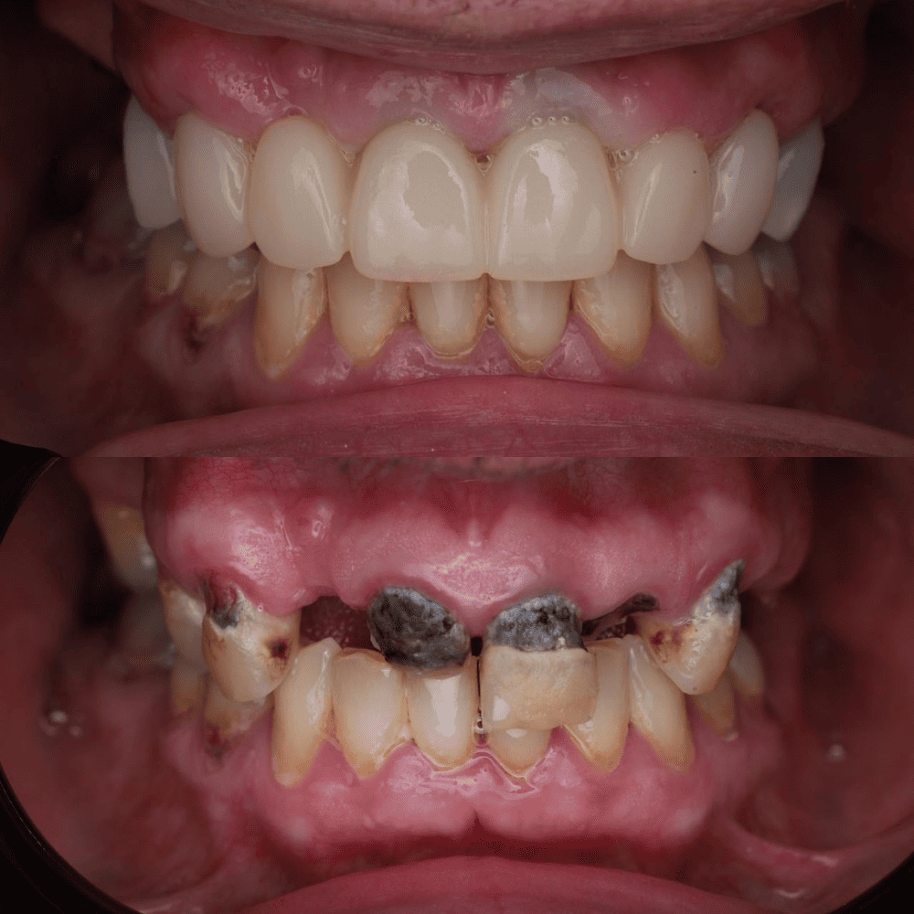
Пациент клиники ДО / ПОСЛЕ тотального протезирования
✅ Крепкие, здоровые зубы, жевание любых продуктов
❌ Трудности с жеванием, частые зубные боли
и сможете есть даже твёрдую пищу!
Вы вернёте все зубы за 72 часа
Качественное лечение доступно каждому!
а счастливые пациенты - наша главная мотивация и самая высокая награда:
Направления: терапия, хирургия, ортопедия, имплантация и гигиена полости рта
Компьютерная томография (КТ)
Интраоральная 3D-камера
Бесплатно!
Только 10 дней у вас есть возможность
записаться на обследование
записаться на обследование
Успейте воспользоваться
нашим уникальным предложением
нашим уникальным предложением
Информация, указанная на сайте, не является публичной офертой.
Информация на сайте носит справочный характер и не является руководством к самолечению
Имеются противопоказания, необходима консультация специалиста.
Информация на сайте носит справочный характер и не является руководством к самолечению
Имеются противопоказания, необходима консультация специалиста.